胃腸肝膽科
回首頁
彰基官網
簡介及特色
胃腸肝膽科簡介及特色
簡介及特色
最新臨床試驗
消化系中心
學術活動日曆
常用網站連結
醫師介紹
最新消息
最新消息
肝癌免疫與標靶治療專區
媒體報導
活動剪影
衛教天地
衛教文章
影音衛教
For Your Health
親切 熱心 專業 安全 舒適
衛教天地
胃食道逆流反覆發作怎麼辦?
2022.07.01
食道功能檢查介紹
大腸息肉的內視鏡診斷及治療
2022.07.07
大腸息肉的內視鏡診斷及治療
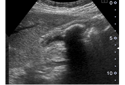
癌王-胰臟癌
2022.06.01
內視鏡超音波 - 早期診斷胰臟癌的利器
肝癌一定要開刀嗎?
2020.09.15
肝癌的局部治療
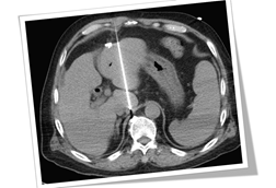
隱形健康殺手─『膽管癌』
2020.07.14
膽管癌簡介
常常肚子痛,吃了胃藥都沒好?可能是膽結石作怪
2020.06.02
認識膽結石
1
2
3
4
訊息分類
衛教文章
影音衛教
瀏覽人次 :68211
04-7238595-5505
彰化市南校街135號
維護單位 : 胃腸肝膽科
2018 © 本網站內容為財團法人彰化基督教醫院所有 未經授權‧禁止轉載