王老太太因為嚴重骨質疏鬆,單純打噴嚏的稍微劇烈動作竟造成胸椎第12節的壓迫性骨折
母子二人在市場經營豬肉攤,肩部疼痛影響工作也影響了日常生活
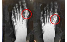
穿高跟鞋或尖頭鞋,或許展現出時尚潮流美,但長期下來容易導致足部前段結構變形,也就
為了減少併發症產生,髖臼骨折若情況允許,最好在傷後7-10日內手術,以減少臥床帶
根據健保署的統計資料,國內肩頸痠痛盛行率約為55%。平均每2人之中,就有1人受到
61歲的看護大哥因為痛得睡不好、走路像企鵝,跛著腳走進診間。X光檢查顯示,他的關
2018 © 本網站內容為財團法人彰化基督教醫院所有 未經授權‧禁止轉載